StartUczelniaAktualnościRok akademicki 2024/2025Znaczący postęp w rekonstru...

Znaczący postęp w rekonstrukcji rozległych ubytków twarzy w Klinice Chirurgii Szczękowo-Twarzowej UCK

25.11.2024

Dwadzieścia dwa skomplikowane zabiegi rekonstrukcyjne z zastosowaniem mikrounaczynionych płatów przeprowadzono od stycznia 2024 r. w kierowanej przez dr hab. Barbarę Drogoszewską Klinice Chirurgii Szczękowo-Twarzowej Uniwersyteckiego Centrum Klinicznego, szpitala GUMed.

Znaczący postęp w rekonstrukcji rozległych ubytków twarzy w Klinice Chirurgii Szczękowo-Twarzowej UCK


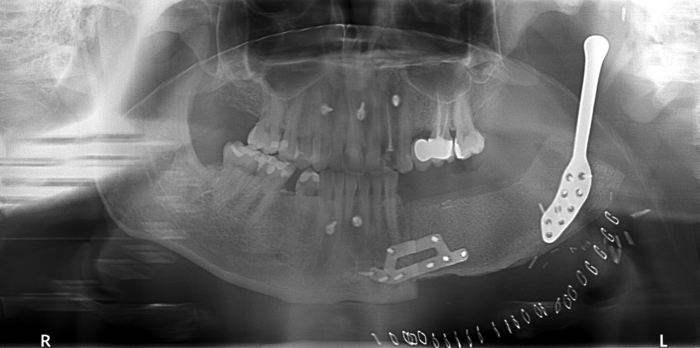
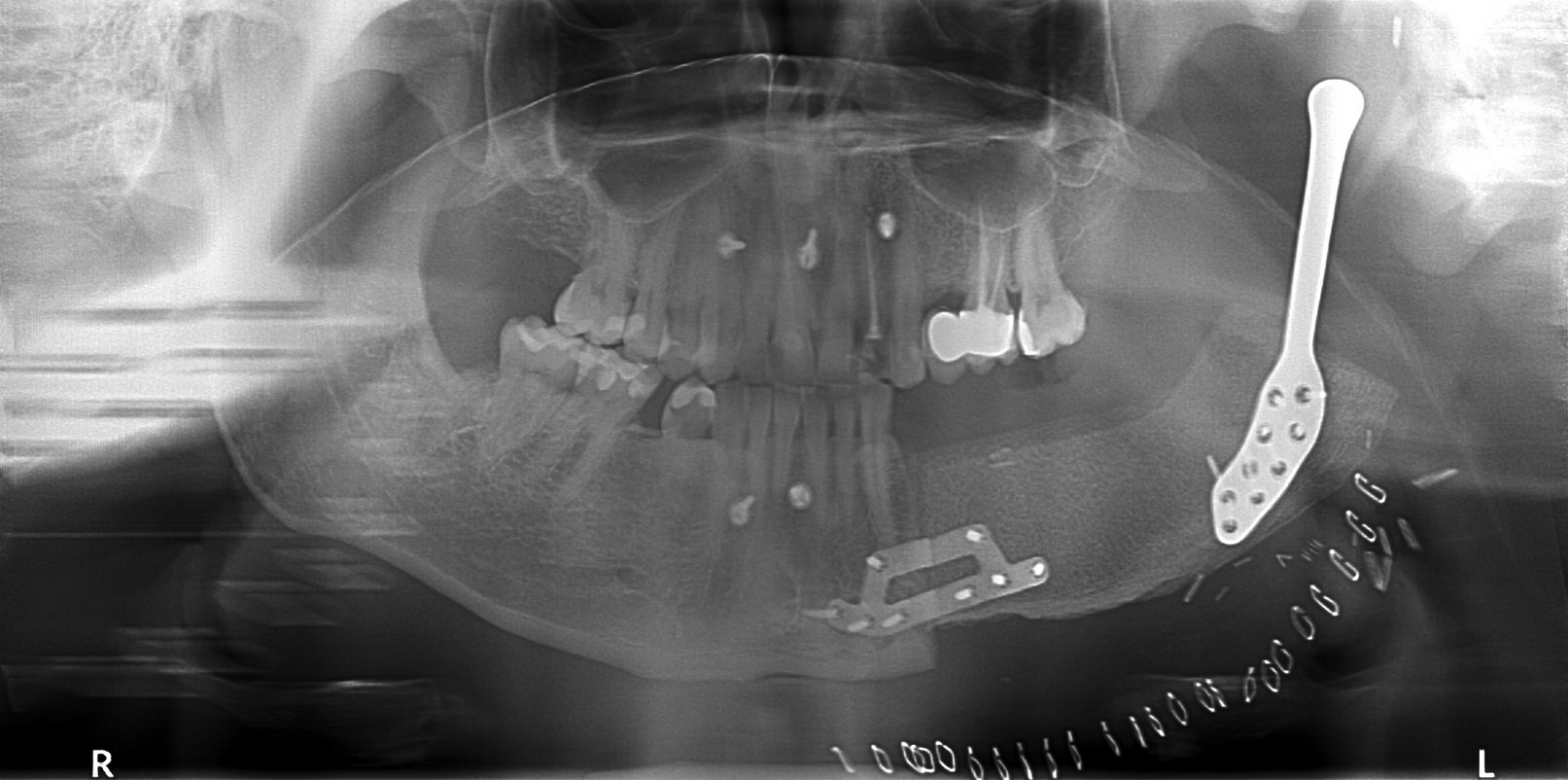
Wśród przeprowadzonych zabiegów znalazło się dziesięć rekonstrukcji z wykorzystaniem płatów strzałkowych, dziewięć płatów promieniowych, dwa płaty przednio-boczne uda oraz jeden płat kostno-mięśniowy z biodra. Te zaawansowane techniki mikrochirurgiczne pozwalają na precyzyjne przeszczepianie tkanek z innych części ciała w miejsce ubytków poresekcyjnych, zapewniając optymalny efekt estetyczny i funkcjonalny.


– Płat wraz z towarzyszącą mu szypułą naczyniową, jest precyzyjnie wypreparowany z miejsca dawczego. Następnie, przy użyciu mikroskopu operacyjnego, naczynia doprowadzające krew do płata (tętnica) oraz odprowadzające krew żylną są zespalane z odpowiednimi naczyniami w miejscu biorczym. Dzięki temu zapewnione zostaje ciągłe ukrwienie przeszczepu, co jest warunkiem koniecznym jego przyjęcia – wyjaśnia dr Adam Polcyn, specjalista z Kliniki Chirurgii Szczękowo-Twarzowej GUMed.


Jednym z najbardziej skomplikowanych zabiegów z przeprowadzonych w Klinice była rekonstrukcja stawu skroniowo-żuchwowego z wykorzystaniem materiału alloplastycznego, wykonanego w technologii druku 3D. W tym przypadku dodatkowo zastosowano płat biodrowy kostno-mięśniowy, pobrany za pomocą szablonu przygotowanego indywidualnie dla pacjenta. To rozwiązanie otwiera nowe możliwości leczenia pacjentów z nowotworami w obrębie części twarzowej czaszki, znacząco poprawiając ich jakość życia.


Warto podkreślić, że osiągnięcia Kliniki Chirurgii Szczękowo-Twarzowej UCK w Gdańsku są efektem pracy wysoko wykwalifikowanego zespołu specjalistów, którzy swoją wiedzą i doświadczeniem przyczyniają się do sukcesu każdego przeprowadzonego zabiegu.


– Skomplikowane zabiegi rekonstrukcyjne wymagają ścisłej współpracy całego zespołu operacyjnego. W Klinice Chirurgii Szczękowo-Twarzowej UCK w Gdańsku operacje odbywają się w dwóch zespołach: jeden zajmuje się resekcją nowotworu, a drugi jednoczesnym pobraniem płata. Przeprowadzenie bezpiecznych i skutecznych zabiegów jest możliwe dzięki doskonałej koordynacji działań całego zespołu operacyjnego – tłumaczy dr Łukasz Garbacewicz, specjalista z Kliniki Chirurgii Szczękowo-Twarzowej GUMed.


– W Klinice Chirurgii Szczękowo-Twarzowej UCK w Gdańsku pacjenci mogą liczyć na kompleksową opiekę medyczną, począwszy od dokładnej diagnostyki, poprzez planowanie, wykonanie zabiegu, aż po okres pooperacyjny – dodaje dr Adam Michcik, specjalista z Kliniki Chirurgii Szczękowo-Twarzowej GUMed.


Klinika Chirurgii Szczękowo-Twarzowej UCK w Gdańsku dynamicznie rozwija się i osiąga znaczące sukcesy również w dziedzinie rekonstrukcji twarzy. Dzięki zastosowaniu najnowocześniejszych technik mikrochirurgicznych oraz doskonałej współpracy zespołu specjalistów, oferujemy pacjentom najwyższy standard leczenia. Zabiegi przeprowadzane w Klinice otwierają nowe perspektywy dla pacjentów z nowotworami jamy ustnej, twarzowej części czaszki, poprawiając ich jakość życia i przywracając utracone funkcje.