26.01.2024

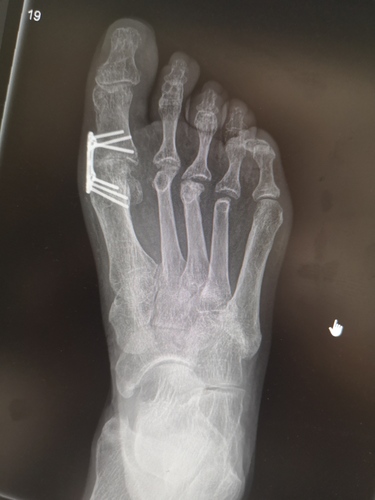
Specjaliści z II Kliniki Ortopedii i Traumatologii Narządu Ruchu GUMed dr Leszek Kuik i kierownik jednostki dr hab. Piotr Łuczkiewicz wraz z naukowcami z Katedry Wytrzymałości Materiałów Wydziału Inżynierii Lądowej i Środowiska Politechniki Gdańskiej opracowali nową metodę stabilizacji w usztywnieniu pierwszego stawu śródstopno-paliczkowego (MTP-1), wykorzystując stabilizację płytką przyśrodkową.
– Zabieg usztywnienia jest powszechnie stosowanym sposobem leczenia zaawansowanych zmian zwyrodnieniowych stawu MTP-1. Niestety wyniki leczenia, zwłaszcza chorych z reumatoidalnym zapaleniem stawów, znaczną osteoporozą oraz przy zabiegach rewizyjnych, nadal są niezadowalające u istotnego odsetka pacjentów. Nowo opracowana technika operacyjna została przetestowana na modelu matematycznym w metodzie elementów skończonych, stworzonym wspólnie z naukowcami z PG. Eksperymenty jednoznacznie wykazały lepsze właściwości biomechaniczne płytki przyśrodkowej w porównaniu do dotąd powszechnie stosowanej płytki grzbietowej – tłumaczył dr Leszek Kuik z II Kliniki Ortopedii i Traumatologii Narządu Ruchu GUMed.
W związku z obiecującymi wynikami przeprowadzono badanie pilotażowe, stosując płytkę przyśrodkową u 20 pacjentów ze zwyrodnieniami stawu MTP-1. Wyniki funkcjonalne oceniono po ponad roku od zabiegu.
– Otrzymane wyniki potwierdziły dużą skuteczność i bezpieczeństwo nowej metody. Technika z użyciem płytki przyśrodkowej została wprowadzona na stałe do sposobów leczenia Kliniki. Wciąż trwają badania nad ulepszeniami modelu matematycznego, jak i techniki operacyjnej – wyjaśnił dr Leszek Kuik.