23.08.2023
Kardiolodzy z Uniwersyteckiego Centrum Klinicznego, szpitala klinicznego GUMed wykonali trzy zabiegi zamknięcia uszka lewego przedsionka z wykorzystaniem systemu echokardiografii wewnątrzsercowej. To bardzo ważna wiadomość dla osób chorujących na serce, a dodatkowo, w wyniku innych schorzeń, mających problemy z przełykiem.
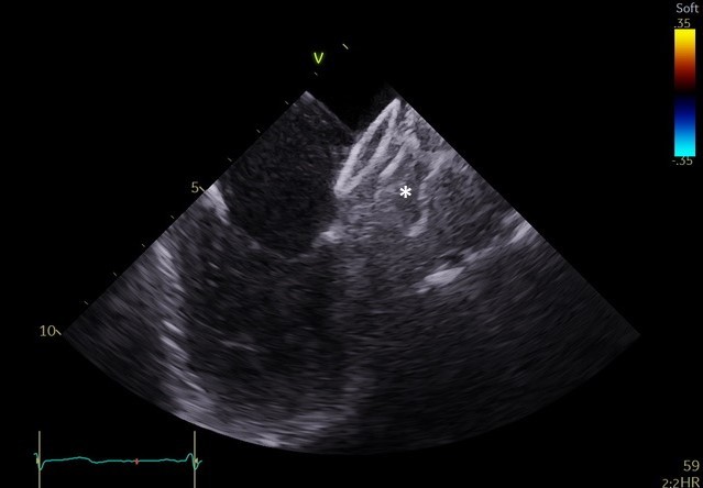
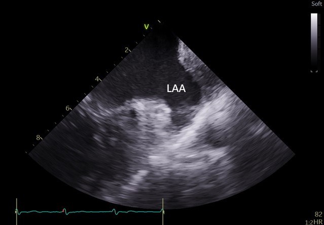
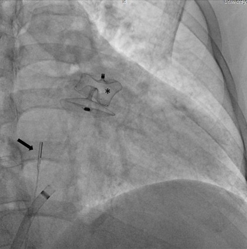
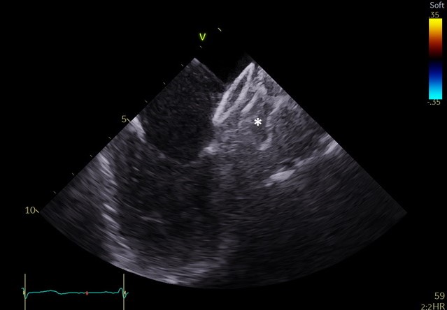
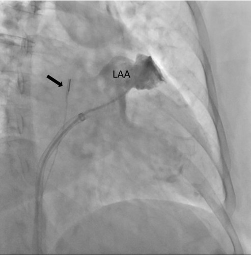
Specjaliści z Pracowni Kardiologii Inwazyjnej I Kliniki Kardiologii UCK przeprowadzili 3 zabiegi zamknięcia uszka lewego przedsionka (ang. LAAO – left atrial appendage occlusion) z wykorzystaniem systemu echokardiografii wewnątrzsercowej (ang. ICE – intracardiac echocardiography).

zespół zabiegowy z sondą ICE
Zabiegi LAAO wykonuje się u pacjentów z migotaniem przedsionków i wysokim ryzykiem udaru niedokrwiennego mózgu, którzy nie mogą stosować leczenia przeciwzakrzepowego z powodu wysokiego ryzyka powikłań krwotocznych. Rutynowo przeprowadzane są one pod kontrolą echokardiografii przezprzełykowej (ang. TEE – transoesophageal echocardiography).
– U części pacjentów kwalifikowanych do LAAO ryzyko związane z wykorzystaniem obrazowania metodą TEE jest zbyt wysokie ze względu na poważne zmiany chorobowe przełyku. To dotychczas uniemożliwiało wykonanie zabiegu. Obrazowanie metodą ICE pozwala na bezpieczne wykonanie zabiegu zamknięcia uszka lewego przedsionka również w tej grupie chorych, ponieważ specjalną sondę ultrasonograficzną wprowadza się nie do przełyku, lecz przez układ żylny pacjenta, bezpośrednio do jam serca – mówi dr Dariusz Ciećwierz, koordynator Pracowni Kardiologii Inwazyjnej I Kliniki Kardiologii UCK z I Katedry i Kliniki Kardiologii GUMed. – Dodatkową korzyścią tego rozwiązania jest większy komfort pacjenta w trakcie zabiegu, dzięki czemu można uniknąć sedacji czy znieczulenia ogólnego.
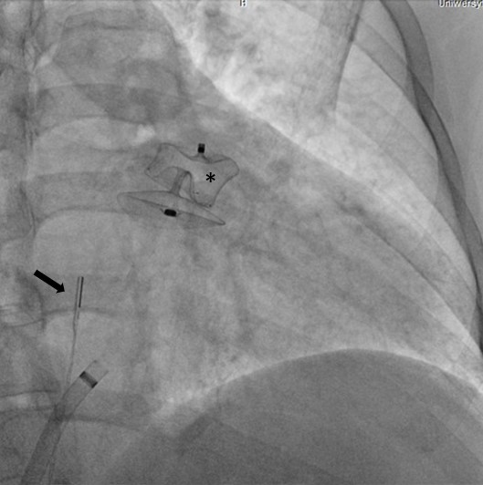
Szczególną grupą pacjentów kwalifikowanych do zabiegu zamknięcia uszka lewego przedsionka są chorzy z marskością wątroby, u których wytworzyły się żylaki przełyku.
– Mogą one powodować ciężkie krwawienia, co sprawia, że u części takich pacjentów nie ma możliwości leczenia przeciwzakrzepowego i proponuje się zabieg LAAO. Z drugiej strony wprowadzenie sondy ultrasonograficznej do zmienionego chorobowo przełyku samo w sobie wiąże się z wysokim ryzykiem wystąpienia krwawienia z żylaków. U takich chorych mamy obecnie możliwość wykonania zabiegu z zastosowaniem obrazowania metodą ICE – tłumaczy prof. Marcin Fijałkowski, koordynator Oddziału Chorób Strukturalnych I Kliniki Kardiologii UCK z I Katedry i Kliniki Kardiologii GUMed.
Zespół lekarski I Kliniki Kardiologii UCK oraz I Katedry i Kliniki Kardiologii GUMed w składzie: dr Piotr Drewla, dr Rafał Gałąska, dr Maksymilian Mielczarek wykonał dotychczas ponad 130 zabiegów LAAO, jednak wdrożenie nowatorskiej techniki obrazowania, jaką jest ICE, było istotnym wyzwaniem ze względu na konieczność znacznej modyfikacji techniki przeprowadzanego zabiegu.
W ramach przygotowania do wprowadzenia metody do praktyki klinicznej w UCK, zespół zabiegowy miał możliwość przetrenowania jej zastosowania na zaawansowanym symulatorze w Centrum Symulacji Sercowo-Naczyniowej GUMed. Zabiegi wykonano u dwóch pacjentów z zaawansowanymi żylakami przełyku z powodu marskości wątroby oraz u pacjentki z wrodzoną naczyniakowatością krwotoczną (choroba Rendu-Oslera-Webera). Nadzór merytoryczny w trakcie pierwszych przeprowadzonych zabiegów zapewnił dr hab. Witold Streb, kardiolog ze Śląskiego Centrum Chorób Serca w Zabrzu.
Wszystkie 3 zabiegi zakończyły się pełnym sukcesem i pacjenci po 2 dobach obserwacji zostali w stanie dobrym wypisani do domu.
fot. UCK