Chirurgia podstawy czaszki bez tajemnic dla lekarzy GUMed

Chirurgia podstawy czaszki bez tajemnic dla lekarzy GUMed

10.02.2017

obraz1.jpg

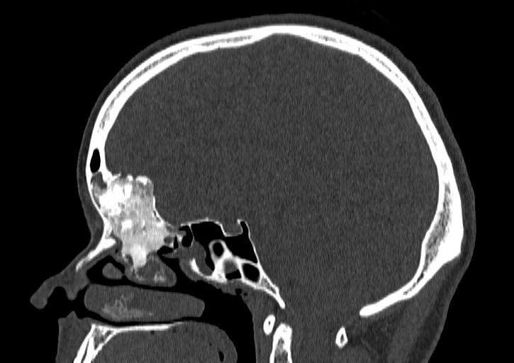
Zespół, w skład którego weszli prof. Paweł Słoniewski z Katedry i Kliniki Neurochirurgii oraz dr hab. Andrzej Skorek z Katedry i Kliniki Otolaryngologii mają na swoim koncie pierwsze sukcesy związane z leczeniem procesów patologicznych pogranicza nosowo-zatokowo-mózgowego. Interdyscyplinarność stanowi odpowiedź na rosnącą liczbę pacjentów dotkniętych schorzeniami rozwijającymi się na pograniczu dwóch powyższych specjalizacji. Owocem współpracy jest przede wszystkim podniesienie bezpieczeństwa zabiegu dla chorego. Dotychczas zoperowano 6 osób (2 z nowotworami złośliwymi i 4 z nowotworami niezłośliwymi), u których resekowano podstawę przedniego dołu czaszki (struktury kostne i oponę mózgową) wraz z guzem, a następnie odtworzono trwałą i szczelną barierę oddzielającą wnętrze czaszki od jamy nosa. W trakcie zabiegu korzystano z najnowocześniejszych urządzeń stanowiących wyposażenie sali operacyjnej Centrum Medycyny Inwazyjnej: neuronawigacji oraz z mikroskopu operacyjnego. Nie obserwowano istotnych powikłań leczenia.

Więcej na www.journals.viamedica.pl/gazeta_amg.